צעיר מירושלים הגיע עם שבץ מוחי למחלקה לרפואה דחופה במרכז הרפואי שערי צדק הגורם לשבץ לא אותר; הרופאים לא ויתרו וערכו תשאול וסדרת בדיקות מקיפות שבסופן פוענחה התעלומה – המטופל חווה טראומה בעת שנהג ב'מכוניות מתנגשות' בפעילות חברתית מטעם העבודה ולא קישר בין שני האירועים: ״קשה לאבחן ולטפל בשבץ שנגרם מפציעות שהמטופל לא הרגיש בהן. ערנות לסימנים נוירולוגים לאחר אירועים מסוג זה היא קריטית ויכולה להציל חיים".
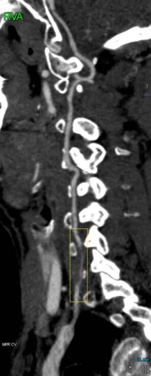
בן 33 מירושלים הגיע למיון בשערי צדק לאחר שסבל מסחרחורות וחולשה בידו הימנית. בדיקת סי טי אנגיו ראש-צוואר שבוצעה באופן מידי חשפה אוטם קטן בחלקו השמאלי של המוחון וקרע בעורק הימני הורטבראלי שמוביל דם לגזע המוח, שזוהו על ידי הרדיולוג התורן, ד"ר סלבה ויאצ'סלב. בשל חוסר התאמה של הממצאים במוחון לממצאים בצוואר בוצעה בדיקת MRI שהדגימה קרע דו צדדי בצרבלום.
ד"ר יואל כהן, נוירולוג בכיר במחלקה לנוירולוגיה במרכז הרפואי שערי צדק שטיפל במקרה מסביר כי מדובר בתופעה שקורית בדרך כלל בצעירים ועלולה להיגרם על ידי פציעות טראומה, חבלה, תאונת דרכים ובעקבותיהן תנועת הצלפת שוט של עמוד השדרה, או בגילאים מבוגרים יותר על ידי גורם דלקתי, ארתריטיס, והפרעה ברקמת החיבור. קרע דו צדדי משויך לעיתים למטופלים עם רקע לבבי. משנשללה הסיבה הלבבית והמטופל שלל רקע של מחלת עורקים או פציעת טראומה, התעלומה הועברה לרדיולוגים לבירור.
ד"ר אלי בן דוד. רדיולוג בכיר שפתר את התעלומה מספר כי קרע דו צדדי ורטבראלי הוא הממצא המובהק ביותר בפציעות ראש צוואר. אלו לא הותירו הרבה מקום לספק, השאלה שנשאלה לא הייתה האם המטופל קיבל חבלה אלא מתי. "עשינו שקלול של כל הגורמים – אין רקע דלקתי ובעיות ברקמת חיבור – לאחר בדיקות דם ששללו גורם דלקתי ולאחר בדיקת MRI מתקדמת הגורם היחיד שהיה סביר הוא פציעת טראומה. ביקשתי לערוך תשאול חוזר, ואכן בשיחה חוזרת עם הנוירולוגים נזכר המטופל כי כשבועיים לפני האירוע, נהג במסלול ׳מכוניות מתנגשות׳ וחווה פציעת ׳צליפת שוט׳ שאופיינית לתאונת דרכים. הבנת המנגנון חשובה לקבלת טיפול מתאים. אחרת יש פוטנציאל לסכנת חיים. לעיתים קרובות אנו מקבלים הפניות מהמיון שהן לא אינפורמטיביות מאוד – אך למעשה ההדמיה מכוונת לסיפור האמתי". מדגיש ד"ר בן דוד.
לדברי הרופאים כחמישים אחוז ממקרי השבץ בצעירים נגרמים בעקבות פציעת טראומה. מה שמעניין בסיפור הוא שבמקרים רבים הקרע עלול להיגרם ספונטנית ללא טראומה, בשל סיבוב לא נכון של הראש. "ראינו בעבר מקרים של קרע בעקבות לחיצות חזקות מדי בעת חפיפת השיער במספרה או בטיפולי רייקי, סחיבת חפצים כבדים בשחיינים שמסובבים את הראש וכאמור עקב צליפת שוט כתוצאה מתאונת דרכים או פציעת טראומה אחרת כפי שאירע למטופל". מסביר ד"ר כהן. "במקרים של דיסקציה הקרע בדרך כלל מחלים מעצמו. בכדי למנוע מקרה של שבץ חוזר, אנו נותנים מדללי דם ותרופות מונעות קרישיות. לאחר מספר ימי אשפוז וטיפול במחלקה הנוירולוגית, המטופל יצא מכלל סכנה, שוחרר לביתו במצב טוב ויחזור לביקורת ומעקב אחר החלמת הקרע.
קשה לאבחן ולטפל בשבץ שנגרם מפציעות שהמטופל לא הרגיש בהן. לכן, ערנות לסימנים נוירולוגים לאחר אירועים מסוג זה היא קריטית ויכולה להציל חיים. צעירים שקיבלו מכה באזור הראש והצוואר או חשו בכאב חד עקב תנועה לא נכונה וסובלים מתסמינים נוירולוגיים כגון כאב חד, חולשה, סחרחורות או בלבול יש לגשת מידית למיון".
